잇몸 클리닉 > 심미클리닉

본문 바로가기

잇몸 클리닉

잇몸 콤플렉스가 있으셨던 분들도
세련된 라인의 선홍색 건강한 잇몸으로 바꾸어 드립니다.

01

세련된 잇몸라인을 만들어갑니다.

가만히 있어도 보이는 잇몸, 웃거나 말할 때 과도하게 보이는 잇몸, 라인이 삐뚤빼뚤한 잇몸 등
치아뿐만 아니라 잇몸 때문에 스트레스 받으시는 분들도 잇몸성형으로 세련된 잇몸으로 변신하실 수 있습니다.

02

10분의 시술 후 바로
아름다운 잇몸라인으로 자신감이 생깁니다.

부자연스러운 잇몸 모양을 전기소작기 레이저, 수술용 블레이드 등을
이용하여 자연스럽고 아름다운 잇몸라인으로 만들 수 있습니다.
10분의 시술 시간 후 바로 아름다운 잇몸라인으로 재탄생 됩니다.

03

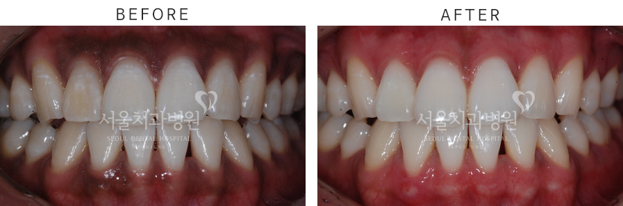
선홍빛 잇몸을 되찾을 수 있습니다.

멜라닌 색소 침착에 의해 잇몸이 검게 변색된 것을 레이저를 이용하여
멜라닌 색소를 제거해 자신있는 미소를 찾아드립니다.

04

당일 시술로 붓기와 외적인 증상없이
빠른 일상이 가능합니다.

레이저를 이용하여 상피 조직에 분포된 멜라닌 색소를 제거, 상피층 아래
건강한 잇몸을 바깥으로 노출시켜 건강한 잇몸으로 탈바꿈 할 수 있습니다.
빠른상담최대한 신속하게
답변 드리겠습니다.
자세히보기
주소지 : 서울 강남구 언주로 165길 5, 서울치과병원 3층,4층 (신사동 623번지)
의료기관 명칭 : 서울치과병원대표원장 : 정다운사업자등록번호 : 211-10-48511
  • 월  -  금AM09:30 ~ PM06:30
  • 점심시간PM01:00 ~ PM02:00
  • 토 요 일AM09:00 ~ PM02:30
  • (점심시간 없이 진료 합니다.)
진료안내

02.545.7550

02.545.7775

서울치과 비보험 진료
증명서 발급 수수료 일반진단서 2만원
상해진단서3주미만 10만원
상해진단서3주이상 15만원
진료확인서 3천원
진료기록사본(1~5매) 1천원
진료기록사본(6매 이상) 100원
보철치료 골드크라운(45%) 60-70만원
PFM크라운 65만원
인레이 35만원-45만원
임플란트 국산 120-180 만원
외산 200-300만원
뼈이식 30-100만원
상악동거상술 50-150만원
레이저 스켈링 10만원
예방치료 스켈링(비보험) 7만원
불소도포 3만원-5만원
교정 투명교정 100-350만원
세라믹교정 600만원
설측교정 800-1200만원
보존 구치부레진 10만원
치경부레진 10-12만원
전치부레진 15-20만원
1차교정 장치비 60-150만원
부분교정 100-200만원
미백 레이저 미백 25-70만원